查看: 386|回复: 1

中年女性不明原因咳嗽40年,听诊居然没有心跳

[复制链接]

4

主题

5

回帖

44

积分

新手上路

积分
44
发表于 2025-12-11 19:05:10 | 显示全部楼层 |阅读模式
中年女性不明原因咳嗽40年,听诊居然没有心跳?!


午休的时候,我坐在湖边,看着湖面的倒影,不觉想起三年前的那个患者。不是因为那天一样的天气、柳树和今天相同,却只是因为风吹散了我的倒影。

01

那是三年前的一个平平无奇的夜。上急诊值班的夜,夜夜祈祷平平安安。

这会儿,一个年轻小伙搀着一个阿姨进来了,「医生,医生,快看看我阿姨,她重感冒快喘不过气来了。」我一看,她的嘴唇有些发紫,咳嗽时有明显的喘息气促,一直咳出大量的黄色黏性浓痰。

患者操着浓重的方言艰难描述自己的病情,神情疲惫而乏力,侄子在一旁帮忙翻译。

问出来的病史很简单:女性,46 岁,因「发热、咳痰加重和气短 2 周」入院

侄子很着急的叙述,「阿姨最近来市里看我,不巧就感冒了,有发热和咳嗽症状以后,自己吃了头孢,但是一直没见好,反而情况越来越严重,咳很多浓痰,昨天还咳血了,一直没吃东西。我看她这么严重要带她来医院,她都不愿意,说自己吃点药熬一熬就过去了。」

我听了很是头大,自行用药一周多却没见好,说明体内病原菌对头孢不敏感,而且存在抗菌素耐药的可能。

「病人之前有没有生病?」

阿姨一直身体都不大好,咳嗽咳痰是常有的,说是老慢支。但是她一直住在乡下,也就是最近我买房了才来市里看我。之前有些小病小痛的都乡镇卫生院或者药店配点药吃一吃就好了。」

老慢支?支气管扩张合并肺部感染?肺结核?病毒性肺炎?

我一边在心里盘算着可能的诊断一边做听诊,双肺有湿啰音和呼气的喘鸣音。但是,当我听心音的时候神奇的事情发生了:我听不到患者的心跳声

心尖区是心尖搏动最强点,正常位于左锁骨中线内侧第 5 肋间偏内侧 1cm 处,没听到。继续把听诊器移向肺动脉瓣区和主动脉瓣区,依然没有。

看着病人的面容,我突然想到小说主角被击中左胸却依然活蹦乱跳的故事,「哈哈哈,我的心脏在右边。」

鬼使神差之下,我把听诊器放上右侧锁骨中线第 5 肋间内侧 1cm 处。有力的心音从这块小小的金属圆片下方传来——右位心

按下自己激动而复杂的心情,我还是给患者开了血常规、血气分析、肺功能检查、胸部 CT 和痰培养。很快,血常规结果显示白细胞数量、中性粒细胞比例、CRP 升高,考虑细菌性感染。血氧饱和度 95%,肺功能检查显示轻度限制性通气功能障碍及弥散功能障碍。胸部 CT 结果报告显示「双肺纹理增多紊乱,双下叶支气管扩张,并树芽状结节」,同时进一步证实右位心,很明显看到心脏偏向右侧。心脏没有问题,心音和瓣膜音也很正常。

给予葡萄糖维持营养、补充水分,并且积极化痰、体位排痰治疗,第 2 天患者体温降低,咳痰有所减少。
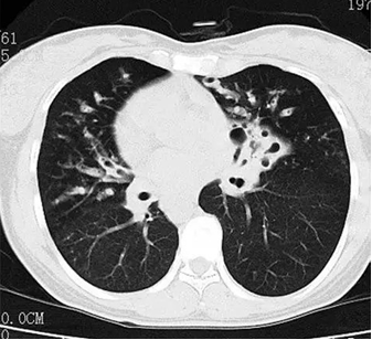
1.png
胸部 CT 平扫示:双下叶支气管扩张伴感染,右位心。(注:胸部 CT 横断面的图相当于是从脚看向头部,因此图上的左右是相反的;图源:参考资料 2,非本病例)

02

两天后,痰培养出来了:铜绿假单胞菌,考虑为支气管扩张伴急性感染

患者家属说的老慢支呢?患者在乡镇医院就诊时当地医生诊断为这个病,CT 检查发现肺纹理增粗及紊乱的现象和慢性咳嗽咳痰的症状,也能够支持老慢支的诊断。但是 CT 检查也发现支气管呈柱状,支持支气管扩张的诊断:难道是支气管炎继发的支气管扩张?还是有其他的原因呢?

我希望患者可以进一步做 HRCT,从影像上确定支气管扩张的具体部位;再做一个支气管镜检查,以留取病原、病理标本协助支气管扩张的病因学诊断和病原学评估。可是由于费用和创伤问题,患者和家属都拒绝了这两项检查。

同样糟糕的是,药敏试验显示这是耐环丙沙星、氨基糖苷类和头孢他啶的多重耐药性的铜绿假单胞菌株,情况变得十分棘手。

多重耐药菌(MDROS)感染患者往往病情复杂,治愈困难,需要用较高级抗菌药物进行治疗,且易形成定植菌,给患者造成沉重的经济负担。

考虑到这些情况,我们立刻开始新一波斗智斗勇的抗感染治疗。

幸运的是,在联合用药和密切关注之下,几天以后,张阿姨咳嗽、气短和发热的症状消失,顺利出院了,我们都松了一口气。

只不过,到这里,事情却还没有结束。

4

主题

5

回帖

44

积分

新手上路

积分
44
 楼主| 发表于 2025-12-11 19:13:59 | 显示全部楼层
03

很长一段时间里,这颗「偏心」都让我念念不忘。

支气管扩张合并肺部细菌感染和右位心有可能有关联吗?她的支气管扩张的病理机制到底是什么呢?如此严重的抗生素耐药是怎么导致的,以后她若是再发生病原菌感染会不会无药可用呢?由于和张阿姨的交流有困难,她也并不十分配合检查,很多疑问就只能一直留存在我心里。

这天,三甲查房结束,中午正好在饭堂看到肝胆外科的老黄,坐在他旁边一起干饭。一边扒拉着饭,一边感慨奥运赛场上的体育健儿们英姿飒爽祖国越来越强盛。

饭过三分钟,两个职业病照例唠起最近的病例。老黄突然两眼放光、显得异常兴奋,「WOC 我和你说,昨晚班头上来了一个非常——非常罕见的病例,真是太惊险了!」

「怎么说?」其实,我突然很想去卫生间,但不好直接拂了老黄面子,所以还是礼貌询问。

这个女性患者因为右上腹疼痛两小时来的,伴有右侧肩背部的放射痛。我问了病史,她是吃完晚饭以后开始痛,还有点恶心,因为持续性疼痛她还有点烦躁不安,我觉得症状吧非常像胆囊炎,就摸了一下肚子。」

「右上腹有压痛么,我开了个 CT 单子咯。做完检查我让她赶紧回来,一看报告我人傻了,好家伙,这是个镜面人,肝脏和胆囊全在左面,胃和心脏在右面...」

老黄此人,讲起患者就跟开火车似的,停不下来,我只好憋着尿意继续听。

「所以嘛,胆囊炎是不可能的了,你看她的胆囊在左面咯,和正常人的位置不一样。」

「根据他这种痛法吧,很有可能要考虑心脏问题,我就马上把她转给了内科急诊。今天早上我早上问了一下心内科医生,这个病人她确实是心脏问题。心脏生化标志物 cTn 水平升高,I、aVL、V2-V6 导联的 ST 段(镜面导联)抬高,符合广泛前壁心肌梗死的心电图表现,所以急诊冠脉造影不可避免。进行急诊冠脉造影后发现,患者前降支近端闭塞,做了球囊扩张并且植入了药物涂层支架一枚,她的右上腹痛和右肩放射痛症状缓解,心电图恢复正常。」

「真的是太险了,你说心梗这种病,如果忽视的话这个病人可能就没有了呀!」

五分钟后,老黄终于讲完了。

这一波,老黄劈里啪啦给我一通输出,他的文思,我的泉涌。听完,我火速把食盘丢给老黄,跑去食堂外隔间的厕所解决三急问题。

不然怎么说厕所是灵感之源呢,一泻千里之时我的脑海里突然蹦出了三年前的右位心——等等!难道说...是同一个人?

洗完手后,我赶忙小跑着抓住了去咖啡机的老黄。

04

一合计,果不其然,老黄手上的病人就是之前支气管扩张合并右位心的病人。只是我当时关注她的呼吸系统情况,竟没有发现全脏器反位。

而支气管扩张伴全脏器反位,我的脑中搜寻着书本中的案例,Kartagener 综合征?

这是一种先天性常染色体隐性遗传疾病,属于原发性纤毛运动障碍中的一种亚型,发病率非常低。又称全内脏转位、支气管扩张、鼻窦病变三联综合征,由于呼吸道上皮细胞纤毛活动障碍,黏液纤毛运输功能下降,分泌物不能排出,引起反复长期的慢性感染。

我把这个想法和老黄一说,他的眉头紧锁,「如果是这样的话,那她很有可能还有鼻窦病变。」

我们抱着猜测的心态去老黄科室的 HIS 系统查了一波,头部 CT 结果显示患者有鼻窦慢性黏膜增厚伴副鼻窦炎。
1.png

鼻旁窦 CT:全组副鼻窦炎,左侧鼻腔斑片状软组织密度影,右侧下鼻甲肥厚。(图源:参考文献 2,非本病例)

看来是没错了。

我们打个电话给心内的小吴,我们仨是医院的同期生。沟通了一下新发现后,我们推荐患者进行支气管黏膜电镜检查,毕竟这是原发性纤毛运动障碍诊断的重要手段。

后来,小吴拿到检查结果以后回了我们,报告显示「纤毛呈『9+2』结构,外动力臂缺失」,证实纤毛结构异常

后来的故事,我是听小吴说的。张阿姨的侄子回忆说张阿姨自小体弱,总是生病,因为家里条件不好,很多时候都是药店买点药能省则省,去了乡镇医院也会避开昂贵的检查。

问及他的外公外婆,他羞赧地说他们是表兄妹,并且唏嘘道,张阿姨膝下无子,此前还曾多次流产。至此,这个病例变得明晰。

近亲结婚增加了患者 Kartagener 综合征的发病风险。患者纤毛发育异常,由于呼吸道纤毛上皮的活动障碍,黏液纤毛运输功能下降,清除功能障碍,分泌物不能排出,导致细菌、真菌、病毒等生长,引起反复长期的慢性感染,支气管壁结构破坏,最终引起支气管扩张,所以才会自青少年时期起就出现咳嗽、咳脓痰、咯血等症状。

尽管该综合征多见于 30 岁以下成人,但由于她一直就诊于当地医院,也从未进行肺部造影检查,长期以来被误认为是慢性支气管炎进行治疗

更糟糕的是,因为长期自行前往药店购买抗生素进行不合理用药,导致了多重耐药的出现。

而由于纤毛不仅存在于呼吸道、中耳,还广泛存在于输卵管、精子鞭毛等组织器官中,患者的多次流产史很有可能也归因于该病所致的宫外孕。

这次,患者由于心脏疾病入院,所幸发现了她「镜像人」的特殊属性,转入心内科,没有延误治疗。

而我反思自己,一开始只关注了她呼吸系统局部的问题,进行对症治疗,尽管成功解决了她当时的呼吸道感染问题,但是没有用全科思维思考得到全面的诊断结果。

如果有时间仔仔细细地问病史,就能知道患者自小就有反复肺部感染及不合理抗生素用药的病史,进而追溯了解「老慢支」表象背后支气管扩张的原因,以及多重耐药可能的原因。

而如果多思考一下右位心和支气管扩张之间可能的关联,或许就能在其他辅助检查的帮助下得到系统的诊断。

一环扣一环,一层又一层。

几天以后,患者出院了。走之前,我们叮嘱了她一些她早该警惕的注意事项,「要经常洗手,降低感染呼吸道疾病的风险;在流感高发季节,考虑接种流感疫苗;以后去医院,也要记得和医生说自己全内脏反位的特殊情况。」


(策划:carollero、gyouza)

本文改编自真实病例 [1]

致谢:本文经 中国医学科学院北京协和医院 呼吸与危重症医学科 住院医师/专业型博士 程重生、浙江大学医学院附属第二医院 消化内科 陈焰 副主任医师、中山大学孙逸仙纪念医院 心内科 麦憬霆 副主任医师 专业审核


【注】

浙江大学附属第二医院消化内科主任医师 陈焰 审核意见:

文章里面提到的心梗相关症状,如胸痛、腹痛部位等,对所有医生来说都很重要。对消化科医生而言,所有的急性上腹痛都需要排除心梗。

分享自身经历:曾在消化科诊室遇到一位老年患者,红光满面地走到诊间来看病,自述胆囊炎,问诊得到信息:上腹不适(部位不明确,右上腹存在不适),血常规显示白细胞轻度高。嘱心电图检查,提示心梗,这才没有误诊。现在想起来依旧心有余悸。


题图来源:图虫创意


参考资料:

[1].Zurcher K, Kawashima A. Kartagener's Syndrome. N Engl J Med. 2021;384(12):e45. doi:10.1056/NEJMicm2028152

[2].严飞飞.Kartagener综合征2例并文献复习[J].中国乡村医药,2019,26(17):40-41.

[3].人卫版《诊断学》(来源:丁香园   作者:huskyqi)
回复

使用道具 举报

您需要登录后才可以回帖 登录 | 请用中文用户名

本版积分规则

本站信息仅供参考,不能作为诊断医疗依据,所提供文字图片及视频等信息旨在参考交流,如有转载引用涉及到侵犯知识产权等相关问题,请第一时间联系我们及时处理!

在线客服|关于我们|移动客户端 | 手机版|电子书籍下载|中医启疾光网 ( 鄂ICP备20008850号|公安备案图标鄂公网安备42011102005941号 )

Powered by Discuz! X3.5© 2001-2026 Discuz! Team. zyqjg.com

中医网版权标识 - 弘扬中医文化,传承中华医学

快速回复 返回顶部 返回列表