查看: 151|回复: 1

患者用药后高热 40.6°C,火速停了医嘱,主任却让我加回去

[复制链接]

5

主题

11

回帖

53

积分

注册会员

积分
53
发表于 2026-3-12 10:40:52 | 显示全部楼层 |阅读模式
「之前说药起效慢,让安心等着。我们等了 3 周,结果不但没好,这病怎么还越来越严重了?」

还没进诊室,便听到诊室里传来不满的大嗓门。里面的急诊医生正左右支绌,见我推门而入忙投来求救的目光:「感染科会诊大夫来了,先……」

闻言,患者家属立刻转向我,神色不豫:「你就是上次住院管我爸的医生?你看看他这后背,上次住院时皮疹还只有零零星星的几处,好家伙,现在都快长满了!」

我感到情况棘手:「您别着急,我先看看片子……」

患者家属愤愤道:「出院的时候退烧,2 天后就又烧起来了,当时说药起效慢,给我们打发回去了。现在都烧到 40.6 度了!到底是怎么回事?」

这位患者我不仅记得,印象还挺深刻,他经过重重波折才确诊,3 周前刚出院。

01  


1 个月前,早查房。

我让患者露出背部,有散在水肿斑块和丘疹,存在水泡样皮损。实习生简单汇报了一下,患者 67 岁,最高体温 38.7°C,盗汗、关节痛、皮疹,毛细胞白血病史 17 年。CT 可见左肺上叶毛玻璃样变,小叶中央结节伴线状分支影,有树芽征。
1.png
图片患者皮疹形态  
图片来源:PubMed [2]


我仔细看了看病历中关于毛细胞白血病的部分。患者 17 年前确诊毛细胞白血病,予克拉屈滨治疗有效, 5 个月前复发,予利妥昔单抗治疗全血细胞减少症,但血细胞计数没有改善。目前白细胞计数为 1.6x10^9/L,远低于正常值,但白细胞分类比例正常。

我思考了一下,认为病毒感染和肺炎可能性最大。毛细胞白血病患者的感染性并发症很常见,所根据皮疹的性质,疱疹病毒感染可能性大,柯萨奇病毒等肠道病毒也可能导致类似的发疹。

我信心满满地开了伐昔洛韦抗病毒,再加上头孢,没事就溜达到护士站视察体温单。然而直到下班前,患者还没有退热,这在我心中隐隐埋下了一丝不安。

第二天查房,我震惊地发现患者的病情加重了——不但没退热,皮疹还蔓延到了四肢,并且出现了干咳

02

我找到同组的师兄,他拎起片子看了又看:「患者胸 CT 结果是非特异性的,可能与细支气管炎、早期支气管肺炎或误吸有关。我仍然认为感染性因素可能性大。」

我提出异议:「但是伐昔洛韦和头孢吡肟治疗后,病情加重了。」

师兄摇摇头:「治疗无效可以初步排除疱疹病毒和部分细菌感染,但还有其它感染的可能,包括结核与肺结核分枝杆菌感染;还有真菌感染,比如曲霉属、镰刀菌属或毛霉属真菌;此外还有蜱传播疾病,这些都可以导致发热和皮疹。」

我建议先对感染源进行全面排查,如无结果,再考虑非感染性原因。」师兄总结道。

我应下后,回到办公室后便忙着开医嘱。除了尿培养、血培养、痰培养、疱疹液培养,还有结核检测(T-SPOT、PPD试验、痰菌培养)、病毒相关检测(VZV、HSV、CMV、EBV、HIV、腺病毒)、真菌相关检测(G试验、GM试验、隐球菌、组织胞浆菌),以及莱姆病、弓形虫的相关检查。

开完这些,我感到胜券在握。

然而陆续出来的检查结果让我开始慌了。竟然都是阴性

其实阴性检查结果并不能完全排除感染,特别是这种免疫功能低下的患者,但这些结果确实提示了感染的可能性较小。

我不禁开始思考,这个病例的非感染性原因可能有哪些?

可能是药物引起的药疹。也可能是免疫性疾病,比如接触性皮炎、自身免疫性水疱病。

如果从患者的毛细胞白血病出发进行考虑,他的水肿性红斑可能是白血病相关的皮肤表现,另外中性粒细胞性皮肤病也有可能,虽然这两种可能在毛细胞白血病中并不很常见。

为鉴别上面的所有病因,我开了皮肤活检。

03

「活检结果出来了!」我在办公室激动地一声大吼,屏幕前瞬间凑了几个脑袋过来。这个病例是目前科里的一桩悬案,大家都好奇无比。

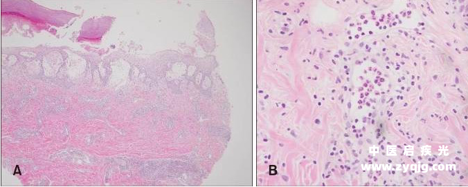
检查发现轻度乳头状真皮水肿,致密、弥漫性间质性皮炎,中性粒细胞占优势。革兰染色、高碘酸-希夫染色、淀粉酶、抗酸杆菌染色均没有发现微生物。皮肤活检标本与阴性组织培养的分析结果最符合急性中性粒细胞性皮肤病(Sweet 综合征)
1.png
皮肤活检结果
图片来源:PubMed [3]

屏幕前的脑袋们一阵唏嘘:「结案了结案了,果然有句老话说得好,病因不明查免疫……」

Sweet 综合征是一种急性发热性嗜中性皮肤病,发病机制可能是一种超敏反应,对这个患者来说,可能是因为肿瘤刺激细胞因子的产生,促进中性粒细胞异常迁移到真皮组织中。临床表现确实符合,会出现发热、关节痛、斑丘疹、假水泡样变等。

我如释重负,找风湿科医生会诊后,将患者转入风湿免疫科病房,对患者进行系统性糖皮质激素治疗。患者 12 小时后退热,很快就可以出院了,出院后予强的松 80mg qd 维持治疗。

几天后,我在食堂排队时恰好遇到了患者转到风湿免疫科后的主管医生小曾,就顺嘴问了一句患者恢复得怎么样。小曾端着饭站在旁边就开始吐槽:「这患者出院后没几天就挂了我门诊,家属嚷着说这病没祛根啊,出院第 2 天就又开始发烧了,嗓门大得整个门诊都听见了。」

我一惊,小曾又说:「我就赶紧解释,Sweet 综合征可能需要几周才能对治疗产生反应,现在有症状是正常的,再等等就好了。」

「那没事,应该没啥问题。」我们笑着互相安慰。

万万没想到的是,仅仅出院后三周,便发生了开头的一幕。

5

主题

11

回帖

53

积分

注册会员

积分
53
 楼主| 发表于 2026-3-12 10:44:36 | 显示全部楼层
04
我在质疑声中集中注意力看着胸部 CT 结果,显示气管旁及肺门淋巴结肿大。我觉得很奇怪,淋巴结肿大不该是这个患者所确诊疾病的临床表现。上次住院时做的胸部 CT 与现在完全不同:左肺上叶片状毛玻璃影,小叶中央结节伴线状分支影(树芽征),却无淋巴结病变

我又仔细观察了一下患者背部的皮疹,虽然增多了,但与之前的形态不太一样。水泡相比之前减少了,略有硬化。

我理了理思路:患者有发热、干咳、盗汗。与上次住院相比,除了皮疹和胸 CT 的异常,上个月还减重 9 公斤。

怎么看都觉得仿佛还有感染的可能性……虽然之前已经一通操作猛如虎地排除了各种感染,但今时不同彼日,谁说不能新来个感染呢?

此外还有肿瘤的可能,再加上患者原有的毛细胞白血病和 Sweet 综合征,整个病情变得扑朔迷离。

面对如此复杂的病情,我不敢怠慢,收了病人后立刻与师兄讨论:「我怀疑是感染或肿瘤,所以想再进行一次感染源的全面排查,另外做个 PET-CT。」

「嗯,可以。病情的关键是淋巴结肿大的原因,」师兄紧皱眉头,「毛细胞白血病通常不会引起淋巴结病和组织增生,因此可能是一种新发的淋巴增生性疾病。我建议做个支气管镜,顺便做支气管肺泡灌洗液检查和淋巴结活检。」我连忙应下。

「对了,既然考虑有感染的可能性,糖皮质激素尽快减下来。」师兄叮嘱道。

05

疑难病例讨论会上,我在大屏幕前汇报着这个病例,一项检查结果宣判了病魔的死刑:支气管肺泡灌洗液未发现异常,但淋巴结活检示坏死组织内含成串丝状微生物, 抗酸染色阳性, PCR 显示结核分枝杆菌特异性 DNA

座下众人纷纷露出老怀大慰的表情,主任感叹道:「那接下来正常抗结核治疗就可以了。从这个复杂病例上,我们能学到不少东西。」

「这个患者的结核,应该是在一开始就存在了。」主任分析道,「回想起来,患者最初的临床表现是以 Sweet 综合征为特征的,这可能代表着机体对某种疾病的反应——不是对毛细胞白血病的反应,而是对结核的反应。感染也是 Sweet 综合征的诱因之一。」

「我们不应该诊断出 Sweet 综合征之后就掉以轻心的。这个结核,隐藏得太深了。」主任摇头叹道,「虽然结核也可以引起皮肤病变,但皮疹的活检结果却与 Sweet 综合征是一致的,而且最终只有淋巴结活检检测出了结核存在的证据。谁来说说,为什么在这个患者中结核这么难以发现?」

「应该是因为毛细胞白血病的原因?」小曹想了想道,「因为虽然毛细胞白血病主要引起 B 细胞的紊乱,但 T 细胞功能也会受到影响,而结核菌素试验和 T-SPOT 试验都是依赖于 T 细胞功能的存在,所以检不出来。」

「没错,」主任满意地点头,「除了毛细胞白血病本身的原因,还可能因为之前为治疗毛细胞白血病,使用了克拉屈滨和利妥昔单抗,耗竭了免疫细胞。」

「要不是为了治 Sweet 综合征用了糖皮质激素,导致结核病加重,恐怕它不会这么轻易地被检测出来,我们也很难想到结核上去。在这种免疫功能低下的患者中,感染必须着重考虑。」主任颇有些心有余悸地总结道。

「所以是治好了一种病,却引出了另一种病?」小赵若有所思地喃喃道。

06

经过抗结核治疗,患者快速退热。

这时,之前送检的感染源排查结果才出来,血培养和痰培养显示结核分枝杆菌的阳性结果,但皮肤活检标本的培养显示分枝杆菌阴性。

患者很快出院了。这一切顺利得毫无拖泥带水,以至于当这位大爷再一次出现在病房,我简直以为出现了幻觉。

「患者因低血压、心房颤动伴快速心室反应而入院,体温 38.2°C,心率 170 次每分,血压 85/55 毫米汞柱。」实习生汇报完,我仍然有种不真实的感觉——这病情怎么还没完了?这到底是是新出现的一个病,还是跟之前那好几个病有所关联?

我油然而生一种被命运玩弄的感觉。此时当天的胸部 CT 结果出来了,显示淋巴结较上次住院更为肿大,我深吸一口气,认命地开始分析病情。

由于患者长期服用糖皮质激素,我想到了内分泌系统的问题,于是开了 ACTH 兴奋试验。此外只能再次想到感染,我哭着又开了一次感染源筛查,并给予广谱抗生素治疗。

忐忑地等了几天,发现抗生素毛用都没有。检查结果也陆续出来了,病原学检查无阳性发现, ACTH 兴奋试验正常。

一切毫无进展,我只觉头皮发麻,恰好瞥到门外主任拎着水杯飘过,我便心一横,送死一般迎了上去,把所有结果递给他看。

主任喝着水,眼睛从杯口斜到我手中的病历夹上看了几眼,忽然一口水呛了个惊天动地。

我忙将病历抢救回来,看见主任一挥手,边咳边艰难地说:「去把糖皮质激素再给他用上!等会我再跟你解释!」

啊?我张口结舌地站成一头呆鹅。

07

等我开完医嘱回来,由于恰逢每周一次的主任查房,主任便直接拎着病历夹对大家讲了起来。

「你们可能会觉得奇怪,这个患者由于患有结核,把之前用于治疗 Sweet 综合征的糖皮质激素给停了,为什么现在又要把激素用上?」主任扫视众人,我猛点头。

「因为检查结果都没有明显发现,所以我考虑这个患者是免疫重建炎症反应综合征,简称 IRIS。」主任笃定道。「重复发热和进行性淋巴结肿大,是与结核病相关的 IRIS 的典型表现。」

我豁然开朗,虽然 IRIS 更常见于 HIV 患者开始进行抗病毒治疗时,但也可能发生在开始治疗各种其他感染时,包括结核分枝杆菌。

IRIS 发生有两种机制,第一种是出现机会性感染;第二种是虽然对已知感染进行了恰当的药物治疗,但由于细胞因子的释放,使病情仍进一步恶化。

主任说:「在本例患者中 IRIS 发生的原因,可能是开始抗结核治疗后,机体对于结核蛋白的免疫反应的重建。」

主任感慨道:「这个病例也提醒了我们,在照顾免疫功能低下的患者时,如果患者对治疗没有达到预期的反应,必须不断重新评估鉴别诊断,因为可能存在多种并发的疾病过程。」

主任讲解完毕,大家的目光中都难掩惊叹。小赵恍然大悟:「治了Sweet 综合征,产生了结核;治了结核,又产生了IRIS。这个过程难道是『一病生一病』?」

小曹纠正道:「这么说不太准确,结核病是一开始就存在的,不是因为治 Sweet 综合征才产生的,治疗只是加重了它的发作。倒是这个糖皮质激素贯穿始终,用了又停,停了再用……」

小陈总结道:「这个激素,治好了一种病,加重了一种病,还产生了第三种病,又治好了第三种病!」

经口服糖皮质激素治疗数日,患者病情快速好转,证明了主任对其 IRIS 诊断的准确性。患者服用的糖皮质激素逐渐减量,继续抗结核治疗,最终出院。


策划:z_popeye、gyouza

本文改编自真实病例 [1]

致谢:本文经 中山大学孙逸仙纪念医院风湿免疫科主治医师 李谦华 、复旦大学附属华山医院感染科副主任医师 王新宇 专业审核

题图来源:图虫创意

参考资料:

[1]Geller Bram J.,Stone Richard M.,Merola Joseph F.,Levy Bruce D.,Loscalzo Joseph. A Man with Fever, Cough, and Rash[J]. The New England Journal of Medicine,2015,373(1).

[2]https://www.ncbi.nlm.nih.gov/pmc/articles/PMC8314742

[3]https://www.ncbi.nlm.nih.gov/pmc/articles/PMC8460475

来源:丁香园    作者:地猫
回复

使用道具 举报

您需要登录后才可以回帖 登录 | 请用中文用户名

本版积分规则

本站信息仅供参考,不能作为诊断医疗依据,所提供文字图片及视频等信息旨在参考交流,如有转载引用涉及到侵犯知识产权等相关问题,请第一时间联系我们及时处理!

在线客服|关于我们|移动客户端 | 手机版|电子书籍下载|中医启疾光网 ( 鄂ICP备20008850号|公安备案图标鄂公网安备42011102005941号 )

Powered by Discuz! X3.5© 2001-2026 Discuz! Team. zyqjg.com

中医网版权标识 - 弘扬中医文化,传承中华医学

快速回复 返回顶部 返回列表